前段時間,一女子沉迷于游戲,連打一天后右眼失明……
百科君語錄:游戲雖好,但是,想上王者也需要穩住。

對于人類而言,超過70%的信息都是通過視覺接收的。如果失去視力,這個世界只剩一片黑暗,“假如給我三天光明”海倫凱勒在多年前就用文字闡述了“能看到”是多么幸福的一件事情。
在我國目前眼科疾病中,視網膜病癥呈快速增長的趨勢。視網膜變性這一類嚴重影響人們視力和生活質量的退行性疾病,傳統上沒有好的辦法去治療,而干細胞治療給這類疾病帶來了改善或治愈的希望。
經過科研工作者的不懈努力,干細胞治療視網膜變性也有了實驗依據,正在幫助盲人重獲光明,一起來看看吧!
No.1

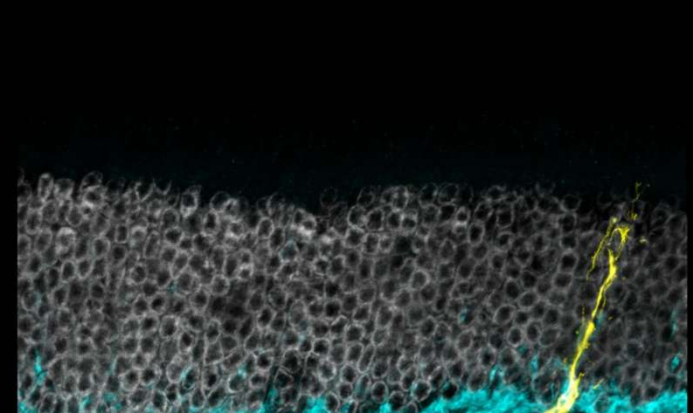
2017年5月2日,中國科學院上海生命科學研究院神經科學研究所、腦科學與智能技術卓越創新中心何杰研究組在《Journal of Cell Biology》發表了題為“Bipotent progenitors as embryonic origin of retinal stem cells”的論文,發現了視網膜干細胞發育的細胞譜系基礎,為進一步揭示視網膜干細胞發育的分子機制,最終實現視網膜干細胞微環境的體外重建提供重要的實驗依據。

研究人員發現,視網膜干細胞只能由視泡中間上皮細胞中一群雙潛能細胞產生,這群雙潛能細胞產生視網膜干細胞的同時產生視網膜色素細胞。為深入研究視網膜干細胞發育的分子機制提供了細胞譜系基礎,為最終理解視網膜干細胞的產生和維持機制提供可能。
No.2
2017年7月26日,西雅圖華盛頓醫學院大學的科學家們在《Nature》上發表名為“Stimulation of functional neuronal regeneration from Müller glia in adult mice”的論文,在小鼠的眼睛中再生了視網膜細胞。

雖然小鼠與人類是不同的生物,但是,和人類一樣,小鼠對于視網膜的損傷也是束手無策的。然而世間萬物總是有一些特別的生物的存在,就像斑馬魚,其視網膜中含有的Müllerglia細胞攜帶一種能讓它們再生的基因——Ascl1基因,在視網膜受損后,該基因會被激活進行修復。

科學家們通過實驗,在成年小鼠眼中再生出了功能正常的視網膜細胞,這對于人類視網膜細胞再生研究十分重要。研究人員表示,他們希望找到其他可以被激活的因子,以使Müllerglia細胞能再生出所有的視網膜細胞,這樣就有可能開發出修復視網膜損傷的治療方法,讓那些因視網膜受損而失去視力的人重見光明。
No.3
英國第一個因老年黃斑病變(視網膜變性)而導致失明的患者已經接受了開創性的人類干細胞手術,醫生希望能通過此種新型治療手段有效對抗失明。

接受手術的是一名60歲的女性患者,患有老年黃斑變性(age-related macular degeneration-AMD),于2015年9月在倫敦摩菲眼科醫院(Moorfields Eye Hospital)進行了手術,迄今為止該患者還沒有出現過并發癥。目前這名女患者已經恢復了視力。
眼睛是心靈的窗戶,視網膜是眼睛的重要組成部分,對于眼睛視網膜的研究,科學家一直在探索的路上,從未停止……
如今,視網膜損傷、心臟病、關節炎、肺癌等許多難治的人類疾病都在干細胞與再生醫學領域取得了新的突破,隨著干細胞技術的不斷完善,相信在未來的某一天,每個人都能看到美麗的風景……